
Covid-19 este cunoscută în principal ca o boală respiratorie, însă tot mai multe date ştiinţifice arată că efectele sale pot depăşi plămânii. Un nou studiu sugerează că infecţia cu SARS-CoV-2 poate produce modificări măsurabile la nivelul creierului, chiar şi la persoane care se consideră complet vindecate şi nu mai prezintă simptome.
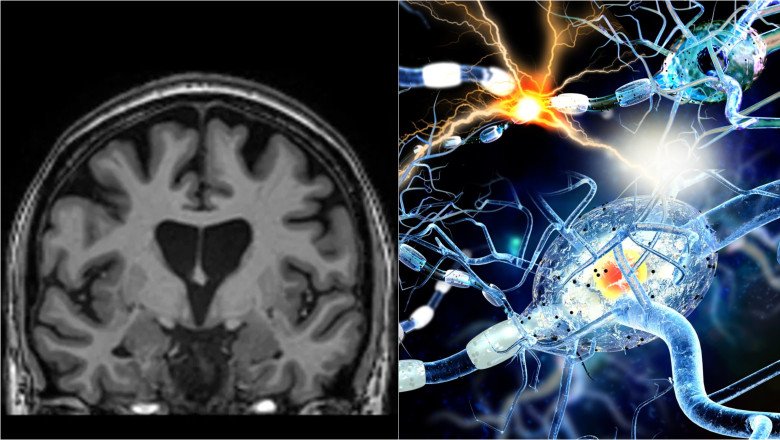
Cercetarea a fost realizată de o echipă de la Universitatea Griffith, în cadrul Centrului Naţional pentru Neuroimunologie şi Boli Emergente (NCNED), şi a folosit tehnici avansate de rezonanţă magnetică (RMN) pentru a evalua sănătatea creierului la persoane care avuseseră Covid-19. Rezultatele au fost comparate cu cele ale unor participanţi care nu au fost infectaţi cu virusul.
Schimbări cerebrale, chiar şi în lipsa simptomelor
Analiza imaginilor RMN a arătat semne clare că o infecţie anterioară cu SARS-CoV-2 poate lăsa urme detectabile în creier, inclusiv atunci când participanţii nu raportau simptome persistente.
Potrivit cercetătorilor, acest lucru sugerează că efectele virusului pot continua dincolo de faza acută a bolii, fără a fi neapărat evidente clinic.
Echipa a utilizat imagistică multimodală pentru a examina atât substanţa cenuşie, cât şi substanţa albă, regiuni esenţiale pentru memorie, funcţii cognitive şi sănătatea generală a creierului.
Diferenţe clare au fost identificate între grupurile de participanţi, inclusiv între cei consideraţi complet recuperaţi şi persoanele care nu au avut Covid-19.
Modificări asociate cu severitatea simptomelor
Autorul principal al studiului, dr. Kiran Thapaliya, a declarat că investigaţiile RMN au evidenţiat modificări importante ale substanţelor chimice din creier, ale intensităţii semnalului şi ale structurii ţesutului cerebral.
Aceste schimbări au fost observate nu doar la persoanele cu sindrom post-Covid (Covid de lungă durată), ci şi la cele care se considerau vindecate complet.
În plus, cercetarea a arătat că gradul de modificare a ţesutului cerebral a fost asociat cu severitatea simptomelor la persoanele cu sindrom post-Covid, susţinând ipoteza unor efecte persistente asupra sănătăţii creierului.
Legături cu tulburări cognitive pe termen lung
Rezultatele se adaugă unor cercetări anterioare care sugerează că virusul SARS-CoV-2 poate persista în creier şi poate deregla activitatea neuronilor.
Alte studii au indicat că infecţia ar putea genera modificări similare celor observate în boala Alzheimer, inclusiv la nivelul creierului şi al retinei.
Autorii studiului au subliniat că noile date oferă indicii importante despre modul în care SARS-CoV-2 afectează sistemul nervos central şi pot contribui la înţelegerea problemelor cognitive raportate de pacienţi, precum dificultăţi de memorie şi concentrare, atât la scurt timp după infecţie, cât şi la luni sau chiar ani distanţă.
Studiul a fost publicat în ediţia din decembrie a revistei Brain, Behavior, & Immunity – Health.
Editor : A.D.

